Escoliose grave mãe solo pede ajuda!
Compartilhe
COPIAR LINK

Escoliose grave mãe solo pede ajuda!

Ajude o Matheus a viver sem dor e aprender com dignidade
Pirassununga - SP

Arrecadado

R$ 0,00

Meta

R$ 10.000,00

Doações

0

Ajudar com o valor: (Doação mínima de R$ 10,00)

Tratamento De Saúde

Desde: 13/08/2025
Outras campanhas

Olá, me chamo Alexandra Regina Telles, tenho 44 anos, sou mãe solo e atualmente estou desempregada. Moro em Pirassununga, SP, com meu filho Matheus Henrique Telles, de 15 anos, que enfrenta sérios desafios de saúde.

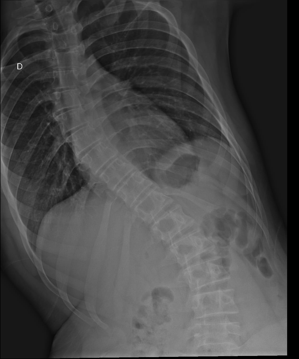
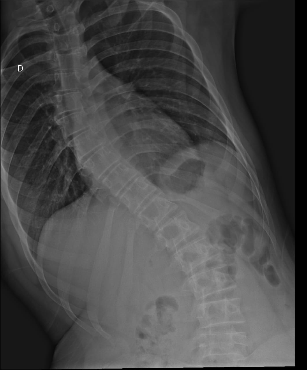
Matheus tem escoliose em grau avançado (curvatura em S de 42 graus), o que tem afetado profundamente sua qualidade de vida. Estamos em uma verdadeira batalha por exames e atendimentos médicos, muitos deles em outras cidades, o que gera gastos com transporte e alimentação que hoje não consigo cobrir.

Além da escoliose, Matheus também precisa de acompanhamento com neuropsicólogo e sofre de asma respiratória, o que exige cuidados constantes. No momento, estamos aguardando uma tomografia da coluna, exame essencial para avaliar a necessidade de cirurgia, conforme já indicado pelo médico. Também preciso providenciar óculos novos para ele, mas infelizmente estou sem condições financeiras.

Atualmente, moramos com minha mãe em uma casa pequena de três cômodos. Ela recebe pouco mais que um salário mínimo, que é totalmente comprometido com aluguel, luz e água. Não tenho rede de apoio e não recebo nenhum benefício social.

Por isso, venho pedir ajuda de coração. Qualquer contribuição, orientação ou compartilhamento já será de grande valor. Estou lutando todos os dias para garantir o mínimo de dignidade e saúde ao meu filho, e qualquer apoio será recebido com imensa gratidão.

Muito obrigada por ler até aqui. Que Deus abençoe cada pessoa que puder ajudar.

Tecnologia de ponta

Sistema automatizado trazendo grande agilidade e gerenciamento simplificado.

Vaquinha garantida

Oferecemos segurança em nossos serviços. Crie agora sua vaquinha com segurança.

Sistema responsivo

Adaptável a todos as telas smartphone, notebook, desktop e tv.

NEWSLETTER

Recebas nossas vaquinhas do bem

Atendimento